*** ติดไข้หวัดใหญ่ ตามด้วย RSV ***


อาการของ rsv จะยิ่งรุนแรงขึ้น


ตามสถิติ เด็กอายุ 6เดือน แรก โอกาสจะอาการหนักจนต้องใส่ท่อช่วยหายใจ

อยู่ราวๆ 5ใน100 ครับ ยิ่งอายุหลัง 6 เดือน โอกาสรุนแรง ก็จะลดลง


ในเดือนนี้ (ก.ย.68) ที่ระบาดหนัก เราดูแลเด็กอายุ ช่วง 6 เดือน ถึง 1ปี

หายใจล้มเหลว ใส่ท่อช่วยหายใจ แทบทุกคืน


แต่หนึ่งปัจจัยที่เราพบว่า อาจเกี่ยวข้องกับ ความรุนแรงของ RSV ในครั้งนี้

แม้น้องจะอายุมากขึ้น ไม่เจอควันบุหรี่ กินนมแม่อย่างดี นั่นคือ


การติดเชื้อ RSV ตามหลัง ไวรัสอื่นๆ เช่น ไข้หวัดใหญ่ HMPV


อย่างในรายนี้ 1 อาทิตย์ก่อน ติดเชื้อ ไข้หวัดใหญ่สายพันธุ์ A

ยังไม่ทันจบ เจอ RSV ใหม่อีก เพราะ การระบาดหนักมาก


ผลคือ อาการของน้องทรุดอย่างรวดเร็วใน 1 วัน

และเพียง 5 ชม. หลัง เข้ารักษาในรพ.

อย่างเต็มที่ น้องยังแย่ลง จนเกิดภาวะหายใจล้มเหลว

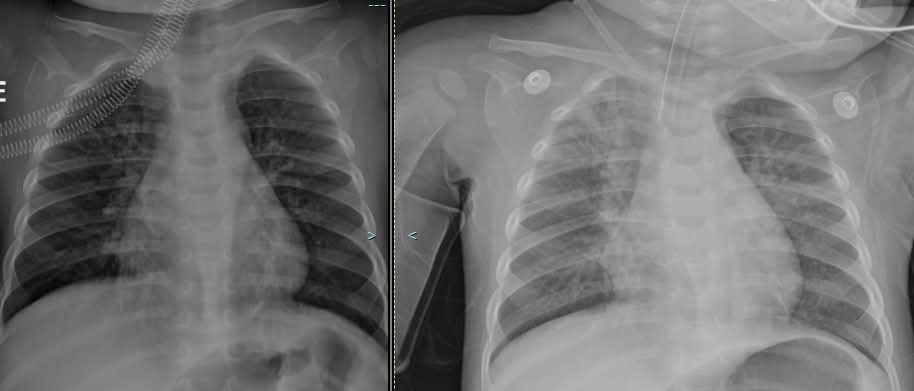
ภาพเอกซ์เรย เปลี่ยนไปอย่างรวดเร็ว แม้ผลการตรวจอื่นๆ

จะไม่ได้ชี้ว่า มีการติดเชื้อแบคทีเรียซ้ำซ้อนด้วยหรือไม่


กรณีแบบนี้ไม่ใช่รายแรกนะครับ...

มี ลักษณะผู้ป่วยแบบนี้ก่อนหน้านี้ในช่วงนี้ ประมาณ 2-3 รายแล้วครับ


*** การติดเชื้อไวรัส ซ้ำๆ แล้วการติเชื้อครั้งหลังรุนแรงพบบ่อยไหม ?***


พบได้ปกติเลยครับ โดยปกติการติดเชื้อไวรัสที่ป่วยหนักๆ

เช่น Flu, RSV

กระบวนการอักเสบจะสงบจากครั้งแรกจริงๆ มักกินเวลา

ประมาณ 2-3 อาทิตย์ แม้ไข้จะหายดีแล้วก็ตาม


หากการติดเชื้อนั้น เกิดขึ้นซ้ำซ้อน เรามักพบว่าในครั้งถัดมา

ผลของการติดเชื้อนั้น มักรุนแรงกว่า เด็กที่ไม่มีการติดเชื้อมาก่อน


การรักษาก็จะยากและใช้เวลานานกว่า สร้างความเสียหายในปอด

ของเด็กมากกว่า (ทุกครั้งที่เชื้อลงปอด ย่อมเกิดแผลอยู่ภายใน)


เวลานี้ โคราช กำลัง เจอแบบนี่แหละครับ "ติดเชื้อซ้ำซ้อน"


เพราะอะไร ? เพราะ การระบาดที่ไม่สามารถควบคุมได้


เวลานี้ มาครบทุก รร.ที่ยังไม่ปิดเทอม ไข้หวัดใหญ่ RSV HMPV

และ มื้อเท้าปาก


ผลคือ ลามไปถึงเด็กเล็ก ที่ไม่สามารถหลบหนีได้


*** สิ่งที่อยากฝาก ***


เมื่อเด็กโต หรือ คนในบ้านเป็นหวัด อย่าคิดว่าไม่เป็นไร

สิ่งที่ควรทำคือ "มาตรการป้องกัน" ต้องมา


สวมหน้ากาก ล้างมือ บ่อย ในคนที่ป่วย

พยายามแยกเด็กโต อย่าไปคลุกคลี กับเด็กเล็ก


ในระดับครอบครัว คงทำได้เพียงเท่านี้

เพราะ คาดหวังยากเหลือเกิน กับการควบคุมระดับสังคม ชุมชน


เพราะ ภาพตอนนี้เห็นชัด แบบ ซ้ำซาก แล้วว่า การควบคุมเป็นอย่างไร


เวลานี้ เท่าที่ทราบ แทบทุกพื้น ก็เจอปัญหาการระบาดของไวรัส

แล้วเจอ ฉากทัศน์ ของเด็กป่วยหนัก แบบนี้กันทั่ว


แต่ผมยัง "ไม่เห็น" นโยบายจาก "ส่วนกลาง" ที่เป็นรูปธรรมเลยครับ


หรือ เขาอาจคิดว่า "ธรรมดาโลก ตามยถามกรรมแหละ"

เดี๋ยวมันก็ผ่านไป อย่ากังวล


ใครจะชิน ก็ เอาเถอะครับ แต่ ผมคนหนึ่งนะครับ ที่ไม่ชินชากับเรื่องนี้

ตลอดชีวิตการเป็นหมอ ICU ที่ต้องพบวิกฤตแบบนี้ ซ้ำๆ นับสิบปี


และผมคิดว่า นี่คือ ความไม่ยุติธรรม ที่มีอนาคตชาติ จริงๆ ครับ


ขอให้ทุกท่านปลอดภัยจาก วิกฤตนี้ครับ


#หมอจิรรุจน์