ออกกำลังกาย แก้ปัญหาแทบทุกหลอดเลือดที่จะเป็น ‘จุดหายนะ’ ให้เกิดหลอดเลือดสมองตีบ บทความนี้จะชี้ให้เห็นจะจะ ทุกเส้น ทุกจุด เพื่อให้เห็นว่าการออกกำลังกายมันซื้อหลักประกันระยะยาวว่า โอกาสที่คุณจะนอนอัมพาตบนเตียง ต่ำลงมากๆ จริงๆ


.


ความจริงที่คนส่วนใหญ่ไม่ค่อยทราบคือ หลอดเลือดสมองตีบนั้น (Ischemic stroke) เกิดได้หลายจุดมาก และหลายครั้งมาในรูปลิ่มเลือดที่ลอยมาอุด ในขณะที่ถ้าไปดูภาวะหลอดเลือดหัวใจตีบ มักจะเกิดจากหลอดเลือดหัวใจเองเลยเป็นหลัก


นั่นเลยทำให้มี ‘ช่องโหว่’ มากมาย ที่ทำให้สมองของเราตั้งอยู่บนความเสี่ยง สมองของเราที่ทำแทบทุกอย่างให้เราเป็นเรา ขยับเคลื่อนไหว รับความรู้สึก รับภาพ รับเสียง อารมณ์ พฤติกรรม และอีกสารพัด ที่ไม่รู้ว่าเกิดโรคสมองขาดเลือดมันจะสุ่มโดนจุดไหน


.


เชื่อรึเปล่าคะ ว่าออกกำลังกายตามไปป้องกันได้ทุกจุดเลย มาค่ะ เดี๋ยวจะชี้ให้ดูเป็นเส้นๆ เลย ว่ามันแก้จุดไหน


⚠️ บทความนี้ยาว เพราะเราตั้งใจเขียนมาก หากไม่มีเวลา อ่านหัวข้อ ‘สรุป’ ท้ายบทความก่อน เซฟแล้วค่อยมาอ่านทีหลัง แต่ถ้าอ่านจบได้ มันจะแสดงให้เห็นโดยเด็ดขาดว่ามันปิดทุกจุดจริงๆ


.


__________________________


.


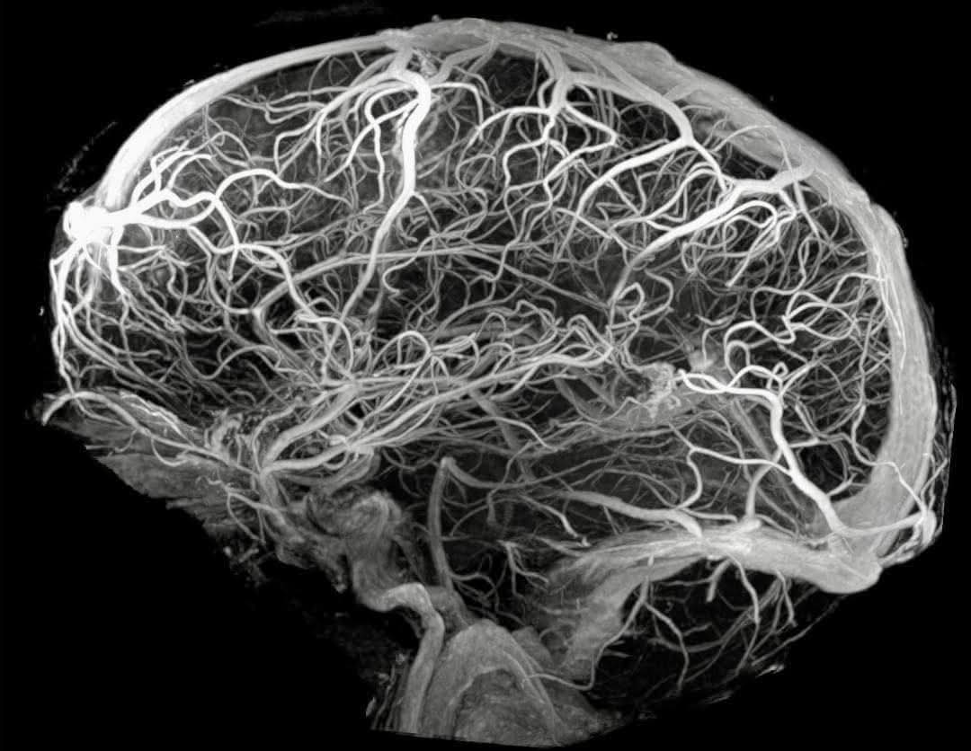
1️⃣ หลอดเลือดแดงใหญ่ในสมอง (Cerebral artery):


.


กลุ่มนี้เป็นหลอดเลือดที่เริ่มจาก วงเวียนหลอดเลือดแดงฐานสมอง (Circle of Willis) แล้วแตกแขนงเป็น 3 เส้นหลัก หน้า (ACA), กลาง (MCA), หลัง (PCA) และเส้นอื่นๆ อีก


จุดนี้เป็นจุดเสี่ยงที่ LDL ที่ขนส่งคอเลสเตอรอล กับเม็ดเลือดขาว สามารถแทรกไปในผนัง ไปกินกันจนอักเสบ แล้วก็พอกคอเลสเตอรอลไปเรื่อยๆ กำเนิดคราบไขมัน (plaque) ทีละน้อยทีละน้อย


จนวันหนึ่งมันตีบพอที่เลือดไหลผ่านแล้ว มันจะเสียดสีที่ผนังแรง เหมือนเราเอามือบีบปากสายยาง น้ำก็จะยิ่งไหลแรง ถูนิ้วเราแรง นั่นแหละค่ะ หลอดเลือดที่ตีบก็โดนแบบนั้น จนวันนึงมันฉีกเป็นแผล ลิ่มเลือดก็เกิดขึ้นทันที อุดหลอดเลือดแบบเฉียบพลัน แล้วก็สมองขาดเลือดทันที (Stroke)


.


ออกกำลังกายตามไปแก้กลไกกำเนิดคราบไขมันได้แทบทุกจุด

✔️ คืนก๊าซ NO ให้ดูแลหลอดเลือด ไม่ให้พวกนี้แทรกง่าย

✔️ เพิ่มเม็ดเลือดขาวสายต้านอักเสบ (Treg)

✔️ เพิ่ม HDL ให้มาไล่ ‘ดีท็อกซ์’ เอาคอเลสเตอรอลออกจากผนัง

✔️ ลดสารอนุมูลอิสระ ทำให้ LDL แปลงร่างเป็น oxLDL ลดลง ซึ่งเป็นจุดกำเนิดให้เม็ดเลือดขาวในผนังไล่จับกิน


แค่นี้หลอดเลือดตัวหลักก็โอกาสรอดสูงแล้วค่ะ

แต่ยังไม่จบค่ะ มันตามไปช่วยหลอดเลือดนอกสมองด้วย


.


__________________________


.


2️⃣ หลอดเลือดแดงใหญ่ที่คอ (ICA) และกระดูกคอ (Vertebral a.):


.


สองเส้นนี้เป็น ‘ต้นน้ำ’ ของหลอดเลือดสมองค่ะ ก็คือหลอดเลือดที่คอด้านหน้า จะวิ่งขึ้นไปในสมอง ร่วมกับ หลอดเลือดกระดูกคอจะวิ่งผ่านก้านสมอง สุดท้ายไปรวมตัวกันเป็น วงเวียนหลอดเลือดฐานสมองในข้อ 1 ค่ะ


ปัญหาสำคัญคือ มันเป็นหลอดเลือดที่เกิดคราบไขมันได้ เหมือนกับข้อ 1 เป๊ะเลย จุดต่างคือ ถ้ามันเกิดวิกฤติขึ้นมา มีลิ่มเลือดเกิดขึ้น มันมักจะไม่อุดที่จุดนั้นทันที เพราะหลอดเลือดมันใหญ่


แต่มันจะไหลไปตามกระแสเลือด (Thromboembolism) ขึ้นไปอุดหลอดเลือดสมองข้างบน ดังนั้นสถานการณ์ไม่ต่างกับข้อ 1 เลยค่ะ


.


และแน่นอนว่า มันเกิดจากคราบไขมัน (Plaque) ออกกำลังกายจึงตามไปแก้ไข ด้วยกลไกเหมือนกับข้อ 1 เลย


อ่านมาถึงจุดนี้แล้ว หลายท่านอาจจะบอกว่า อืม… เคยอ่านมาบ้างอยู่แล้ว แต่ข้อต่อไปนี่แหละค่ะ จะแสดงให้เห็นว่า หลอดเลือดไม่ได้ตีบจากไขมันแทรกแบบนี้เสมอไป


.


__________________________


.


3️⃣ หลอดเลือดแดงเล็กในสมอง (Small penetrating a.)


.


มันคือหลอดเลือดที่มีขนาดเล็กๆ ที่แตกแขนงออกมาจากวงเวียนฐานสมองอีกที จุดเด่นของมันคือ LDL แทรกได้ยากมากกกกก จึงไม่เกิดภาวะคราบไขมันแทรกผนังได้


เดี๋ยวค่ะ อย่าเพิ่งดีใจ


แม้ LDL จะแทรกแทบไม่ได้เลย แต่พฤติกรรม ‘การเอาตัวรอด’ มันสูงมาก เอะอะเอะอะก็จะชอบสร้างเส้นใยเสริมความแข็งแรงตัวเองเวลามีภัย สร้างมากขึ้น มากขึ้น มากจนผนังหนาเกินแล้วก็ตีบหลอดเลือดเหมือนเดิม (Lipohyalinosis)


.


จำไว้เลยค่ะว่า ภาวะที่เล่นงานหลอดเลือดเล็กๆ แบบนี้มีสองภาวะค่ะ คือ ความดันสูง กับดื้ออินซูลิน


เพราะความดันสูง สร้างแรงเฉือนหลอดเลือดเล็กๆ พวกนี้ตลอด น้องหลอดเลือดเลยป้องกันตัวเองเลยทำให้ตัวให้หนาขึ้น


ส่วนภาวะอ้วน/ดื้ออินซูลิน ทำให้น้ำตาลสูงลอย จนเปลี่ยนเป็นพิษชื่อ AGEs สะสมตามที่ต่างๆ ซึ่งมันมีฤทธิ์กระตุ้นให้เกิดพังผืดได้ง่าย ผนังหลอดเลือดจึงหนาค่ะ


.


ออกกำลังช่วยแก้สองภาวะนี้ ได้แทบทุกกลไกเช่นกัน

✔️ ลดระบบประสาท sympathetic ที่ทำงานเยอะไปในระยะพัก จึงลดความดัน

✔️ ลดระบบฮอร์โมนที่ไต (RAA system) เกิดการรวนจากไขมันแทรกไต จึงลดความดัน

✔️ ทำให้กล้ามเนื้อ/ตับ พลังงานลดลง จึงเร่งปรับตัวให้ตอบสนองต่ออินซูลินมากขึ้น น้ำตาลจึงไม่สูงลอย

✔️ ลดความอ้วน โดยเฉพาะไขมันในช่องท้อง ซึ่งเป็นแหล่งผลิตสารก่ออักเสบ ที่ปั่นป่วนร่างกายจนดื้ออินซูลิน


ดังนั้นหลอดเลือดจึงปลอดภัยจากทั้งความดันและน้ำตาลค่ะ

และการที่ไปแก้ถึงความดันและน้ำตาล มันเลยได้ข้อต่อไปด้วย


.


__________________________


.


4️⃣ หัวใจห้องบนเต้นพลิ้ว (Atrial fibrillation)


.


อ่านมาถึงตรงนี้อาจจะร้องเอ๊ะว่า เอ๊ะ หัวใจไปเกี่ยวอะไร


ถ้าอ่านข้อ 2 จะพบว่า หลอดเลือดสมองตีบมันเกิดจากลิ่มเลือดลอยขึ้นมาอุดได้ ดังนั้นไม่จำเป็นว่าลิ่มเลือดนี้มาจากคราบไขมันฉีกที่ผนังหลอดเลือด แต่อาจเกิดจากหัวใจนี่แหละ ผลิตลิ่มเลือดส่งขึ้นไปยังสมองเอง (Cardioembolism)


ซึ่งสาเหตุที่เจอบ่อยคือ ภาวะหัวใจเต้นผิดจังหวะ ชนิดที่มี ‘กระแสไฟฟ้าไหลวน’ (Reentry) ไหลทั่วหัวใจห้องบน ทำให้บีบไม่พร้อมกันเลย เลือดจากหัวใจห้องบนบางส่วน จึงค่อนข้างอยู่นิ่ง ร่วมกับมีผนังของหัวใจที่ผิดปกติ ส่งเสริมให้ลิ่มเลือดเกิดขึ้นได้เอง


.


และเมื่อมีลิ่มเลือด ก็มีสิทธิ์ที่มันจะถูกหัวใจบีบส่งไปให้สมองค่ะ ซึ่งไม่รู้ว่าจะหลุดไปตอนไหน เมื่อไหร่ สยองมากค่ะ


.


แล้วออกกำลังกายไปช่วยอะไร? ไปช่วยแก้ต้นเหตุมันเลยค่ะ เพราะถ้าไปดู ปัจจัยเสี่ยงสำคัญที่จะทำให้วงจรไฟฟ้ามันผิดปกติคือ อ้วน/ดื้ออินซูลิน, ความดันสูงเป็นหลัก


อ้วน/ดื้ออินซูลิน ทำให้ผนังหัวใจห้องบน โดนสารอักเสบตลอด ส่วนความดันสูง ทำให้หัวใจฝั่งซ้ายทำงานหนัก ทำให้เกิด stress ที่ผนังได้มาก


ดังนั้นจากข้อ 3 เราได้บอกไปหมดแล้วค่ะว่า ออกกำลังกายมันแก้ทั้งดื้ออินซูลินและความดันสูง ดังนั้นข้อนี้ก็ได้รับประโยชน์ไปด้วยเต็มๆ เลย


.


__________________________


.


5️⃣ แม้เกิดเหตุแล้ว ความรุนแรงของสมองขาดเลือดก็ลดลง


.


อันนี้คนไม่ค่อยรู้เลยค่ะว่า ถึงที่สุดแล้ว มันไม่สามารถป้องกันเหตุร้ายได้ ยังมีลิ่มเลือดไปอุดจนสมองขาดเลือด ได้การออกกำลังกายที่สั่งสมมาทุกวัน มันยังตามไปช่วยลดความเบาได้มากเลยค่ะ

✔️ ก๊าซ NO ยับยั้งการก่อตัวลิ่มเลือด ทำให้ระบบสลายสู้ได้

✔️ ระบบสลายลิ่มเลือดทำงานดีขึ้น

✔️ ระบบหลอดเลือดฝอยที่เลี้ยงสมองหนาแน่นมากขึ้น จุดข้างๆ สามารถส่งเลือดมาช่วยได้

✔️ การอักเสบในสมองลดลงมาก ทำให้มีวิกฤติขาดเลือดเกิดขึ้น จะไม่โดนการอักเสบทำร้ายเพิ่มเติมอีก

✔️ ออกกำลังกาย สมองจะได้สารชื่อ BDNF, NGF ซึ่งเป็นสารเร่งการงอกของเซลล์ประสาทที่เสียหาย ดังนั้นมันช่วยให้การฟื้นตัวของโรคดีขึ้นมาก แม้เซลล์ประสาทเกือบทั้งหมดตๅยไปแล้ว เพิ่มจำนวนกลับมาไม่ได้ แต่เซลล์ประสาทบริเวณข้างๆ ยังสามารถแตกแขนงมาช่วยสั่งการได้ ซึ่งจะยิ่งเกิดได้ดีมาก ถ้าออกกำลังกายเสมอ และไม่มีโรคประจำตัวอย่างดื้ออินซูลิน จึงไม่แปลกที่หลายคน สมองขาดเลือดแล้ว ฟื้นตัวกลับมาเดินได้


.


__________________________


.


⚠️[ สรุป ] ⚠️


ออกกำลังกายแก้กลไก ปิดแทบทุกจุด


1️⃣ หลอดเลือดแดงในสมอง: ลดการเกิดคราบไขมัน ของเดิมที่มีอยู่ก็ช่วยดีท็อกซ์ออก

2️⃣ หลอดเลือดที่คอ/กระดูกคอ: เหมือนข้อ 1 เลยค่ะ ทำให้ลดการเกิดลิ่มเลือดที่จะส่งไปอุดในสมอง

3️⃣ หลอดเลือดเล็กๆ ใจกลางสมอง: ลดการหนาของผนังจากพังผืด เพราะออกกำลังกายแก้น้ำตาลสูงลอยและความดันสูง ที่เป็นต้นเหตุหลัก

4️⃣ ลดโอกาสเกิดหัวใจเต้นพลิ้ว: เพราะภาวะนี้ทำให้หัวใจห้องบนผลิตลิ่มเลือดไปสมองได้ ออกกำลังกายแก้น้ำตาลสูงลอยและความดันสูง ที่เป็นปัจจัยเสี่ยงของโรคนี้

5️⃣ ต่อให้เป็นแล้ว โรคก็ไม่รุนแรงมากเท่าที่ควร: เพราะลิ่มเลือดเกิดช้าลง สลายง่ายขึ้น สมองก็มีระบบหลอดเลือดหนาแน่น ช่วยกันได้ดี แถมยังเพิ่มสารฟื้นฟู BDNF ช่วยตอนฟื้นตัวหลังจากรักษา/กายภาพอีก


.

.


นี่คือวิธีที่ธรรมชาติเตรียมตั้งตรงหน้าไว้ให้เรานานมาแล้ว จุดยากสุดคือเริ่มต้นและทำต่อเนื่อง นี่แหละค่ะ เลยเป็นที่มาว่า ทำไมถึงให้ลุกไปออกเดี๋ยวนี้เลย เพราะต้องสอนสมองให้มันรับการออกกำลังกายเป็นส่วนหนึ่งของชีวิตให้ได้


แม้เพจจะได้รับ feedback มาเยอะแล้วว่าเริ่มเบื่อบทความออกกำลังกายแล้ว แต่ทีมหนูยังขอทำต่อไป เพราะยังมีเรื่องที่จะเล่าอีกมากมาย ที่กำลังอยู่ในช่วงรีวิว paper อยู่ เช่น ผลต่อม้าม ผลต่อปอด ผลต่อสิ่งแปลกๆ อย่าง กองน้ำเหลืองที่ไขมันช่องท้อง(?)


หวังว่ายังไม่เบื่อกันไปก่อนนะคะ

Cr:Tensia